Karabük Ağız ve Diş Sağlığı Eğitim ve Araştırma Hastanesi’nde 16 yaşındaki bir hastaya, diş kaybına karşı doğal ve yenilikçi bir yöntem olan “diş ototransplantasyonu” başarıyla uygulandı.
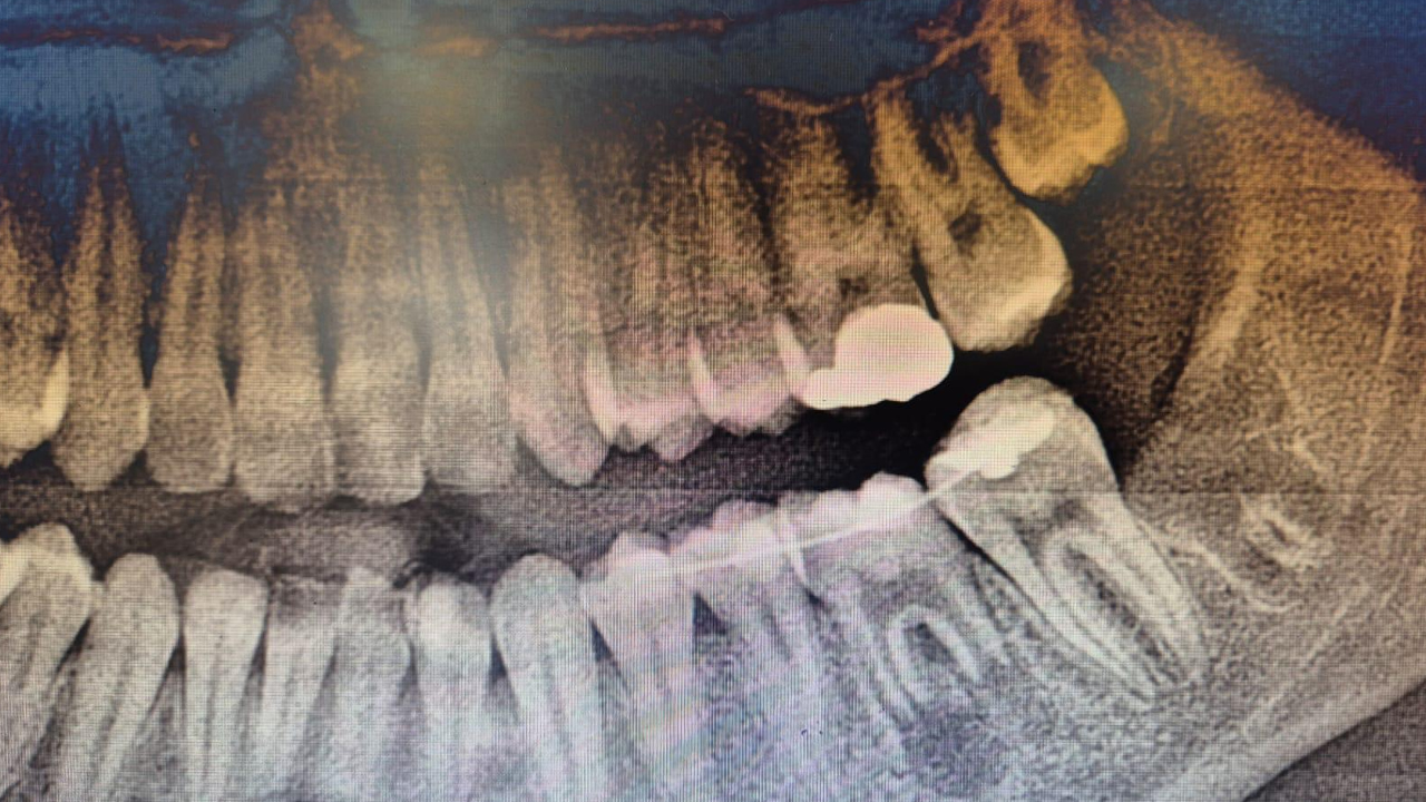
İleri düzey çürük nedeniyle bir daimi azı dişi çekilen hastada, çene gelişimi devam ettiği için implant gibi klasik tedavi yöntemleri uygun bulunmadı. Bunun üzerine uzman hekimler, hastanın kendi ağzında kemik içinde gömülü bulunan üçüncü azı dişini (yirmi yaş dişi) operasyon mikroskobu eşliğinde çıkararak, çekilen dişin yerine nakletti.
Tedavi sırasında ayrıca hastanın kendi kanından elde edilen PRF (Platelet Rich Fibrin) materyali, diş yuvasına uygulanarak doku yenilenmesinin hızlanması sağlandı. Bu sayede dişin hem daha sağlıklı bir şekilde tutunması hem de iyileşme sürecinin kısalması hedeflendi.
Operasyon, Endodonti Anabilim Dalı öğretim üyesi Doç. Dr. Olcay Özdemir ve Ağız, Diş ve Çene Cerrahisi Anabilim Dalı öğretim üyesi Dr. Öğr. Üyesi Muhammed Abdullah Çege tarafından başarıyla gerçekleştirildi.
Uzmanlar, diş ototransplantasyonu yönteminin, özellikle çocuk ve genç hastalarda uygun koşullar sağlandığında, diş kayıplarına karşı güvenilir ve doğal bir alternatif oluşturduğunu vurguladı.
Karabük ADSEAH Başhekimi Prof. Dr. Ahmet Taylan Çebi, uygulamanın hastane açısından önemli bir başarı olduğunu belirterek, “Kendi dişinin kullanılması sayesinde hem doğal görünüm hem de uzun vadeli fonksiyonel başarı elde ediliyor. Bu tür yenilikçi tedavilerle bölge halkımıza en güncel diş tedavi imkanlarını sunmaya devam edeceğiz” dedi.





